症例紹介
【治療経過】上下のガタガタ歯並びをマウスピース矯正で治療を行った症例

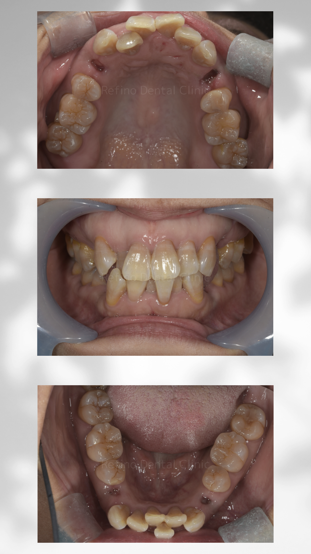
Before

After
| 通院時年齢 | 52歳 | ||||
|---|---|---|---|---|---|
| 性別 | 女性 | ||||
| 通院目的 | 以前から歯並びが気になっていたが、マウスピース矯正での治療を希望し来院 | ||||
| 診断 | 上下顎叢生 | ||||
| 処置内容 | マウスピース矯正 上下顎第一小臼歯抜歯 クリアコレクト使用 |
||||
| 通院期間 | 5ヶ月(治療途中、通院2回) | ||||
| 費用 |
|
||||
| リスク・副作用 |
|
関連記事
矯正歯科
2025年10月03日
【治療経過】インビザラインでオープンバイト(開咬)を治療した症例
こちらの症例はオープンバイト(開咬)という、奥歯は噛んでいるが前歯がほとんど噛んでいない噛み合わせの治療のためにインビザ...
