症例紹介
【治療経過】インビザラインでガタガタ歯並びを治療した症例

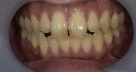
Before

After
| 通院時年齢 | 20歳 | ||||
|---|---|---|---|---|---|
| 性別 | 女性 | ||||
| 通院目的 | ガタガタの歯並びが気になっており、マウスピース矯正を検討していたためカウンセリングと矯正治療を目的に来院 | ||||
| 診断 | 上下顎叢生 | ||||
| 処置内容 | インビザライン矯正(マウスピース矯正) 顎間ゴム併用 |
||||
| 通院期間 | 治療中 | ||||
| 費用 |
|
||||
| リスク・副作用 |
|


| 通院時年齢 | 20歳 | ||||
|---|---|---|---|---|---|
| 性別 | 女性 | ||||
| 通院目的 | ガタガタの歯並びが気になっており、マウスピース矯正を検討していたためカウンセリングと矯正治療を目的に来院 | ||||
| 診断 | 上下顎叢生 | ||||
| 処置内容 | インビザライン矯正(マウスピース矯正) 顎間ゴム併用 |
||||
| 通院期間 | 治療中 | ||||
| 費用 |
|
||||
| リスク・副作用 |
|
〒162-0822 東京都新宿区下宮比町1-1相沢ビル3F
JR中央・総武線 飯田橋駅より徒歩1分
東京メトロ(有楽町線/東西線/南北線) 飯田橋駅より徒歩1分
都営大江戸線 飯田橋駅より徒歩1分
都営大江戸線 牛込神楽坂駅より徒歩12分
神楽坂下交差点より徒歩5分
JR中央・総武線 水道橋駅より徒歩10分