症例紹介
【治療経過】インビザラインでオープンバイト(開咬)を治療した症例

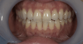
Before

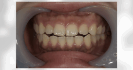
After
| 通院時年齢 | 28歳 | ||||
|---|---|---|---|---|---|
| 性別 | 男性 | ||||
| 通院目的 | 将来の虫歯や歯周病リスクを軽減するため、噛み合わせ治療を目的に来院 | ||||
| 診断 | オープンバイト(開咬) | ||||
| 処置内容 | インビザライン矯正(マウスピース矯正) | ||||
| 通院期間 | 治療中 | ||||
| 費用 |
|
||||
| リスク・副作用 |
|


| 通院時年齢 | 28歳 | ||||
|---|---|---|---|---|---|
| 性別 | 男性 | ||||
| 通院目的 | 将来の虫歯や歯周病リスクを軽減するため、噛み合わせ治療を目的に来院 | ||||
| 診断 | オープンバイト(開咬) | ||||
| 処置内容 | インビザライン矯正(マウスピース矯正) | ||||
| 通院期間 | 治療中 | ||||
| 費用 |
|
||||
| リスク・副作用 |
|
〒162-0822 東京都新宿区下宮比町1-1相沢ビル3F
JR中央・総武線 飯田橋駅より徒歩1分
東京メトロ(有楽町線/東西線/南北線) 飯田橋駅より徒歩1分
都営大江戸線 飯田橋駅より徒歩1分
都営大江戸線 牛込神楽坂駅より徒歩12分
神楽坂下交差点より徒歩5分
JR中央・総武線 水道橋駅より徒歩10分