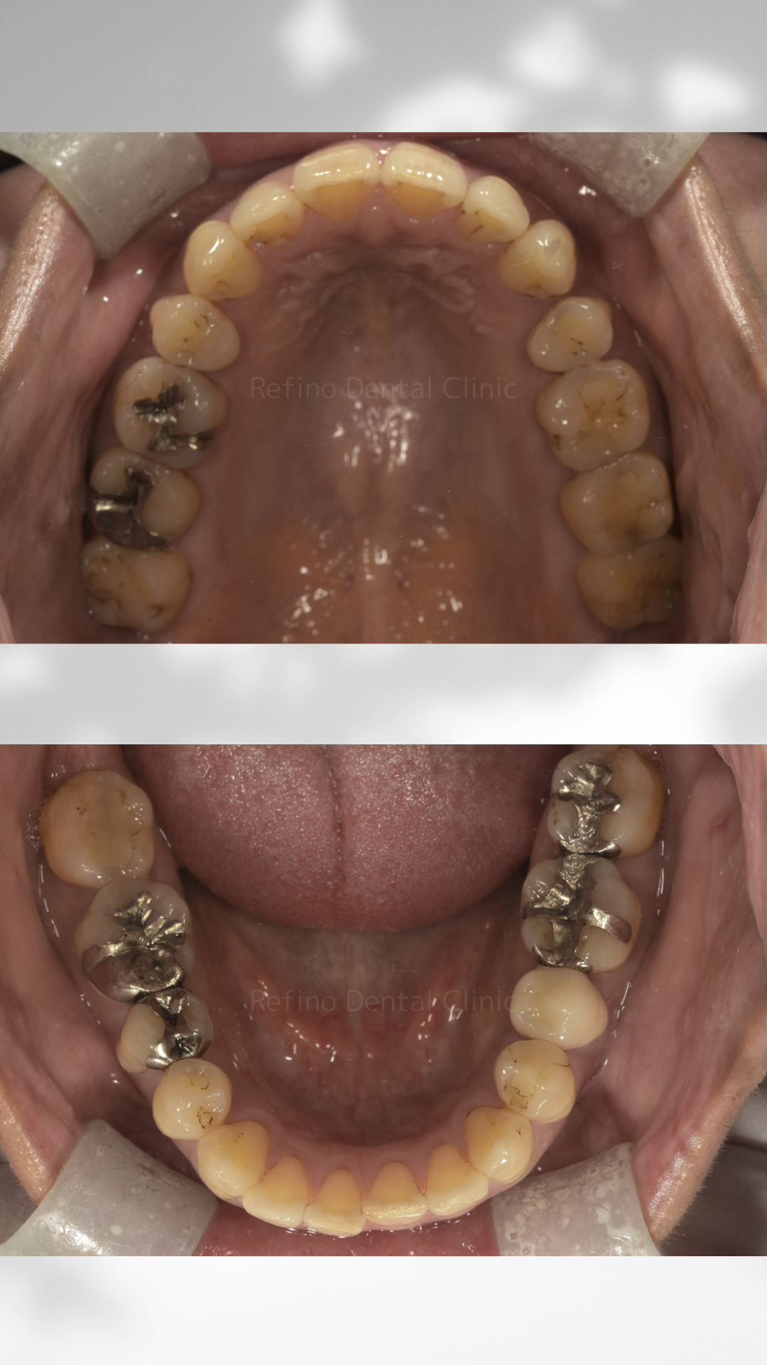
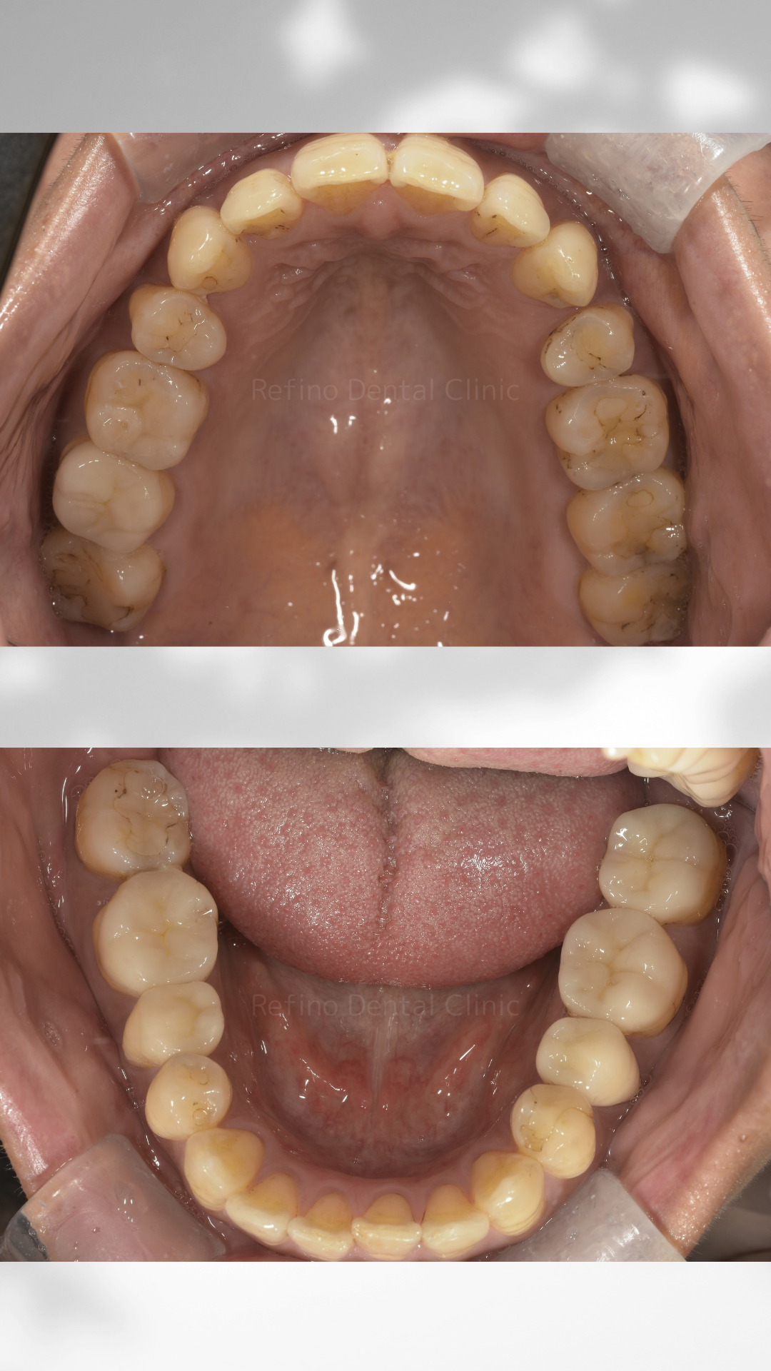
症例紹介
金属アレルギーのため、銀歯をセラミックに治療し直した症例

Before

After
| 通院時年齢 | 53歳 | ||||||
|---|---|---|---|---|---|---|---|
| 性別 | 女性 | ||||||
| 通院目的 | 金属アレルギーを発症したため、健康のために銀歯を全てセラミックに治療し直すために来院 | ||||||
| 処置内容 | セラミック治療 | ||||||
| 通院期間 | 2ヶ月 | ||||||
| 費用 |
|
||||||
| リスク・副作用 |
|


| 通院時年齢 | 53歳 | ||||||
|---|---|---|---|---|---|---|---|
| 性別 | 女性 | ||||||
| 通院目的 | 金属アレルギーを発症したため、健康のために銀歯を全てセラミックに治療し直すために来院 | ||||||
| 処置内容 | セラミック治療 | ||||||
| 通院期間 | 2ヶ月 | ||||||
| 費用 |
|
||||||
| リスク・副作用 |
|
〒162-0822 東京都新宿区下宮比町1-1相沢ビル3F
JR中央・総武線 飯田橋駅より徒歩1分
東京メトロ(有楽町線/東西線/南北線) 飯田橋駅より徒歩1分
都営大江戸線 飯田橋駅より徒歩1分
都営大江戸線 牛込神楽坂駅より徒歩12分
神楽坂下交差点より徒歩5分
JR中央・総武線 水道橋駅より徒歩10分