症例紹介
【治療経過】ガタガタ歯並びをマウスピース矯正で治療を行った症例

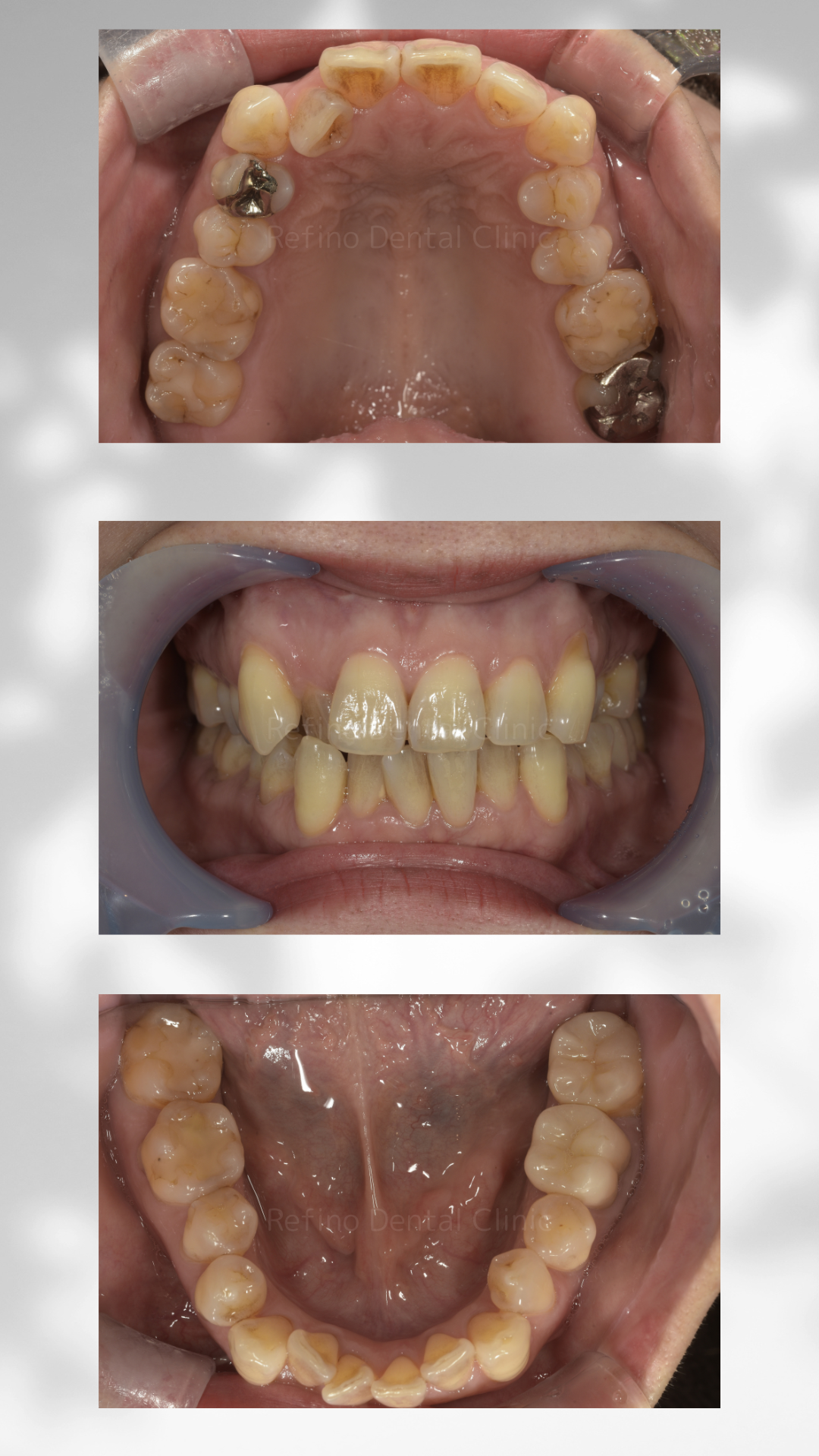
Before

After
| 通院時年齢 | 54歳 | ||||||
|---|---|---|---|---|---|---|---|
| 性別 | 女性 | ||||||
| 通院目的 | 上下の前歯のガタガタが以前から気になっており、今後の予防のために矯正治療を希望され来院 | ||||||
| 診断 | 上下顎叢生 | ||||||
| 通院期間 | 治療中(5ヶ月目、通院3回) | ||||||
| 費用 |
|
||||||
| リスク・副作用 |
|
関連記事
矯正歯科
2025年10月03日
【治療経過】インビザラインでオープンバイト(開咬)を治療した症例
こちらの症例はオープンバイト(開咬)という、奥歯は噛んでいるが前歯がほとんど噛んでいない噛み合わせの治療のためにインビザ...
矯正歯科
2025年10月03日
【治療経過】インビザラインでガタガタ歯並びを治療した症例
インビザライン(マウスピース矯正)の治療経過の紹介です。 こちらの症例は治療期間は約1年を予定しており、現在9か月経過の...
