症例紹介
【治療経過】インビザラインでガタガタ歯並びを治療した症例

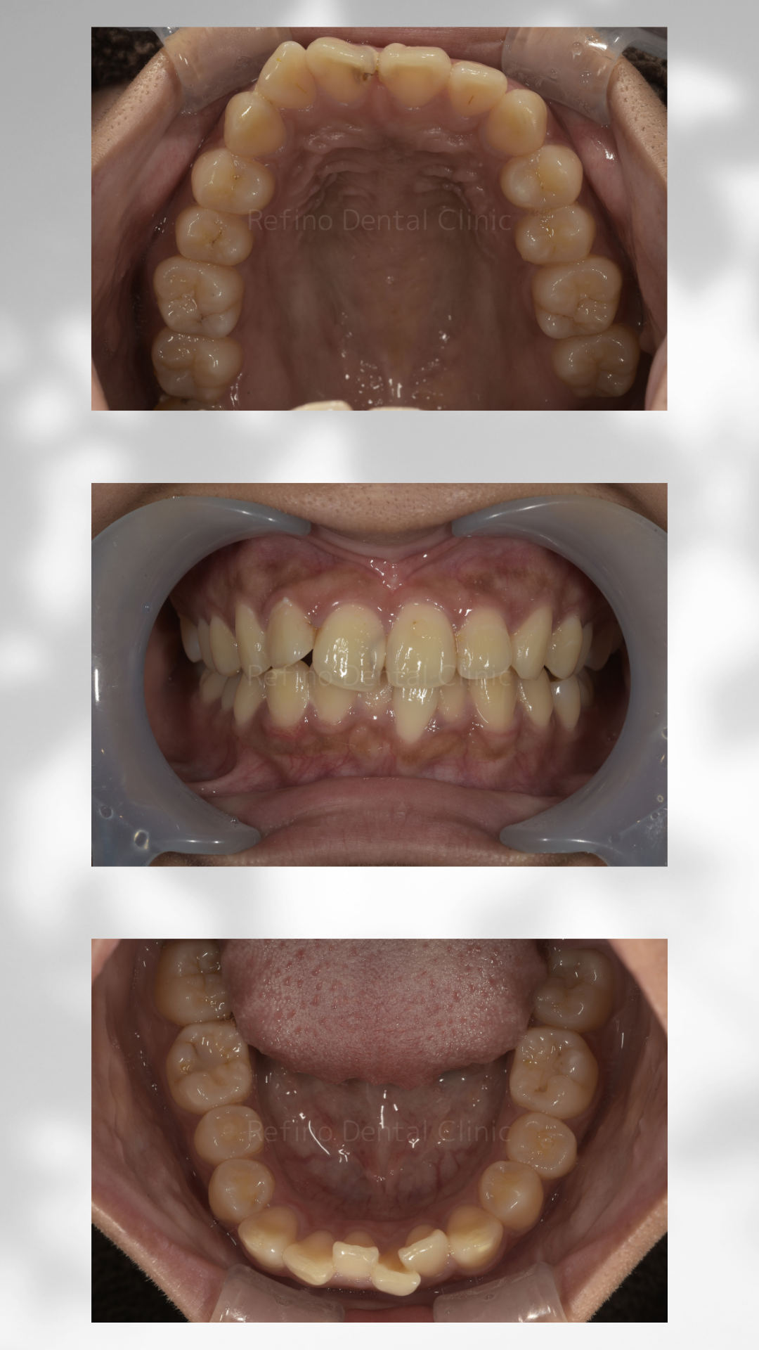
Before

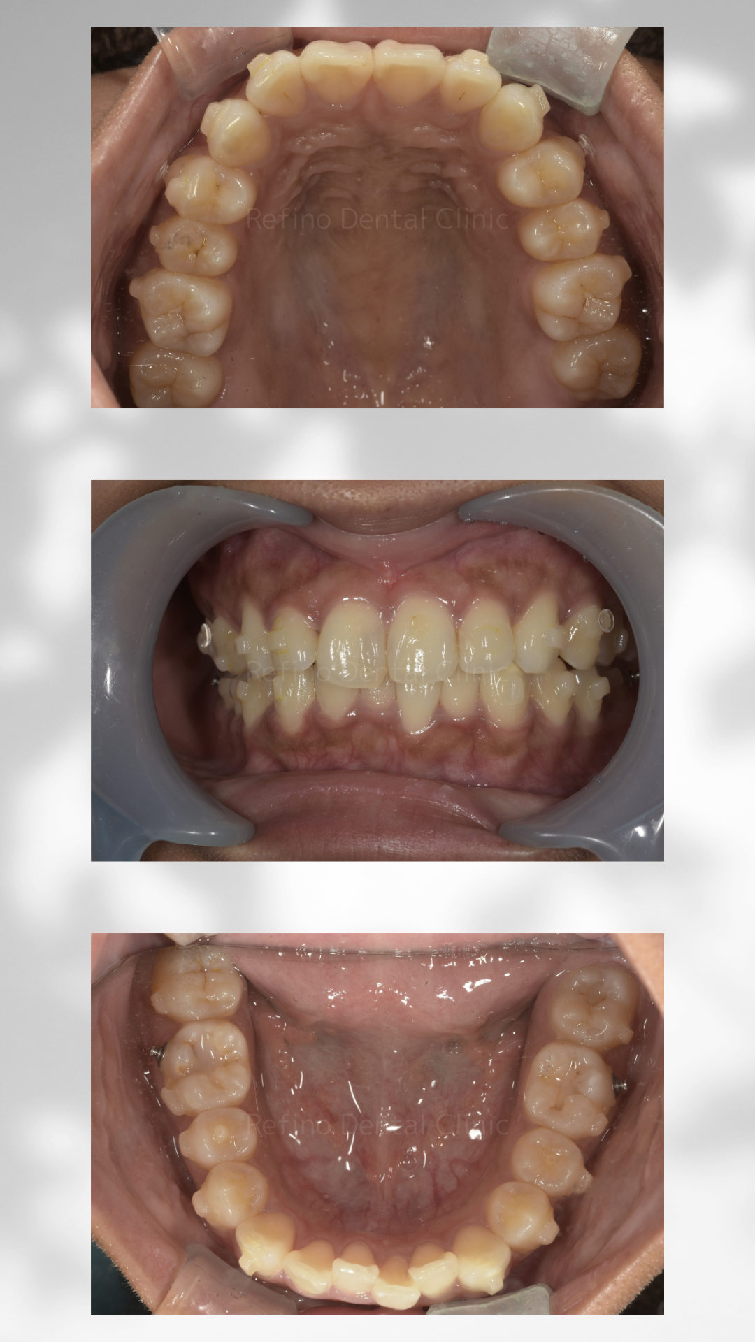
After
| 通院時年齢 | 20歳 | ||||
|---|---|---|---|---|---|
| 性別 | 女性 | ||||
| 通院目的 | ガタガタの歯並びが気になっており、マウスピース矯正を検討していたためカウンセリングと矯正治療を目的に来院 | ||||
| 診断 | 上下顎叢生 | ||||
| 処置内容 | インビザライン矯正(マウスピース矯正) 顎間ゴム併用 |
||||
| 通院期間 | 治療中 | ||||
| 費用 |
|
||||
| リスク・副作用 |
|
関連記事
矯正歯科
2025年10月03日
【治療経過】インビザラインでオープンバイト(開咬)を治療した症例
こちらの症例はオープンバイト(開咬)という、奥歯は噛んでいるが前歯がほとんど噛んでいない噛み合わせの治療のためにインビザ...
