症例紹介
【治療経過】インビザラインでオープンバイト(開咬)を治療した症例

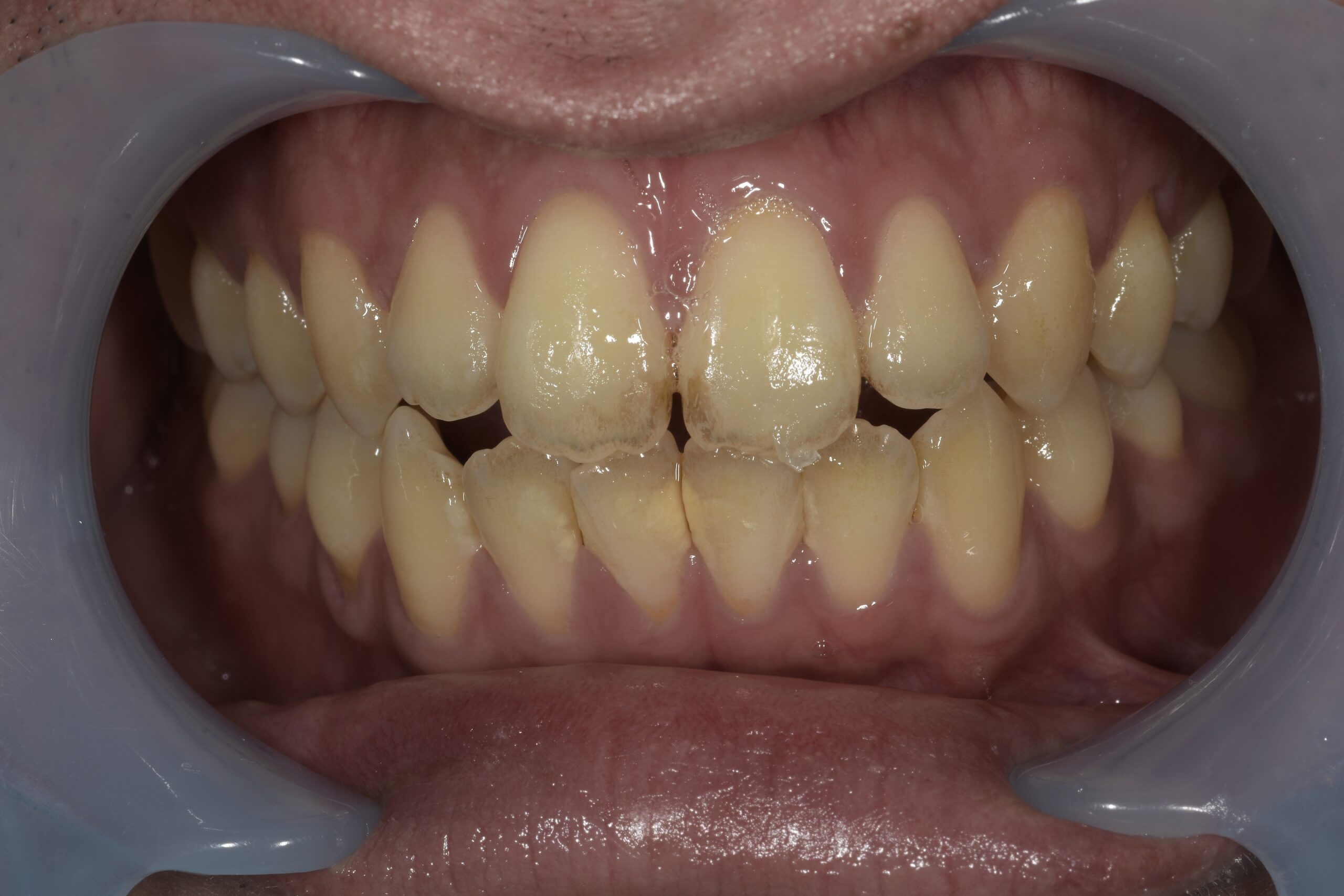
Before

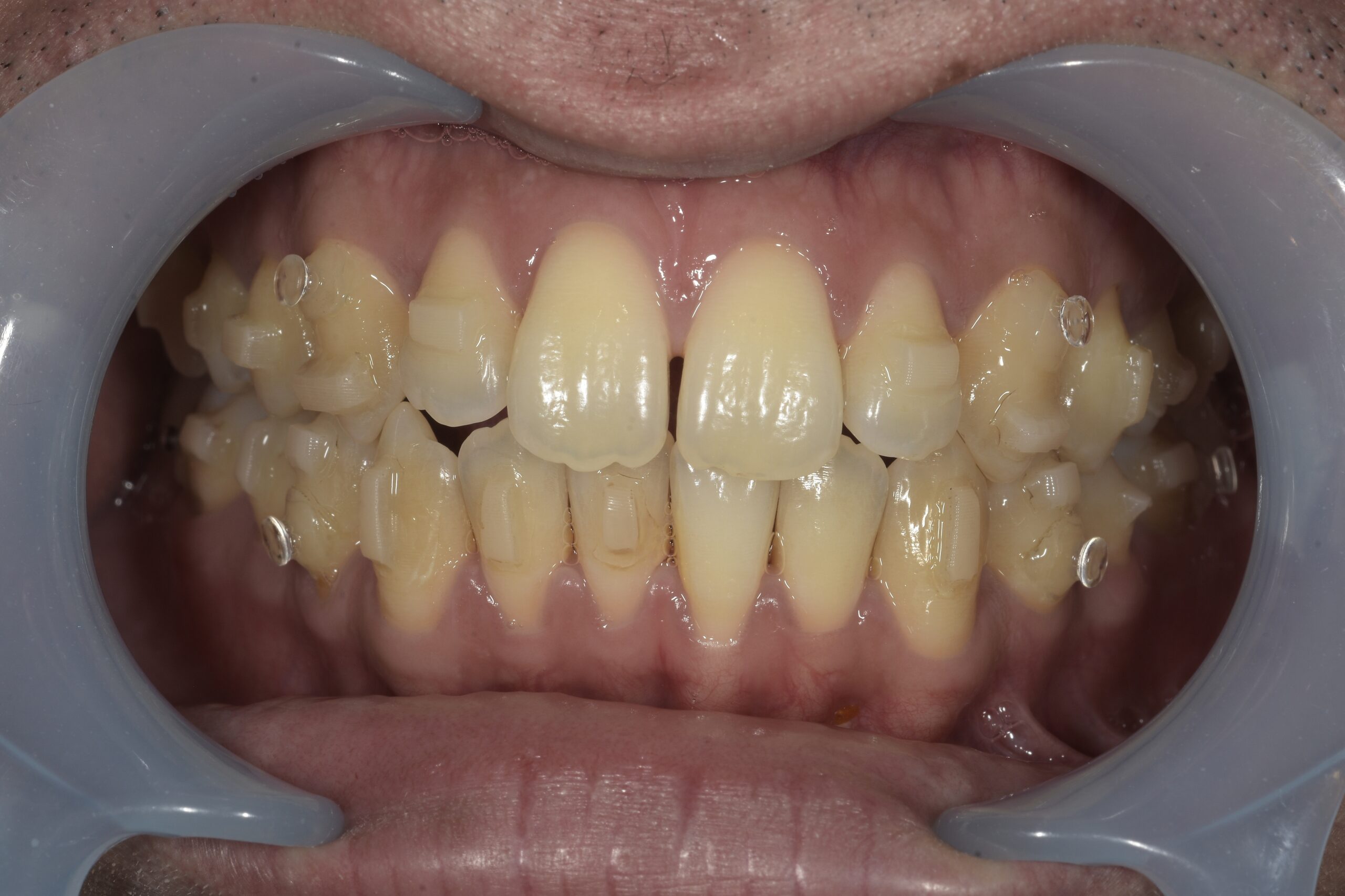
After
| 通院時年齢 | 28歳 | ||||
|---|---|---|---|---|---|
| 性別 | 男性 | ||||
| 通院目的 | 将来の虫歯や歯周病リスクを軽減するため、噛み合わせ治療を目的に来院 | ||||
| 診断 | オープンバイト(開咬) | ||||
| 処置内容 | インビザライン矯正(マウスピース矯正) | ||||
| 通院期間 | 治療中 | ||||
| 費用 |
|
||||
| リスク・副作用 |
|
関連記事
矯正歯科
2025年10月03日
【治療経過】インビザラインでガタガタ歯並びを治療した症例
インビザライン(マウスピース矯正)の治療経過の紹介です。 こちらの症例は治療期間は約1年を予定しており、現在9か月経過の...
